
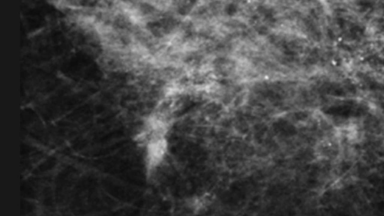
유방 미세석회화
by 위례나무의원
· 2026.04.02
위례나무의원
위례나무의원은 각과 전문의 3인이 유방갑상선클리닉, 산부인과 외래진료, 부인과 검진, 부인과 수술, 부인과 성형, 요실금 수술, 내과종합검진센터 등 여러분의 건강을 책임지는 병원입니다.
유방 엔코수술 및 갑상선 고주파열치료술 등 수천 건의 임상경험으로 고난도 유방 및 갑상선 수술이 가능합니다.
‘과별 진료센터’ 다른 글
유방질환
여성의 유방은 반구형으로 젖꼭지(유두), 유륜(유두 주위의 검은 피부), 그외 나머지 부위로 구성되어 있습니다. 유방에 발생하는 질환은 유두, 유륜, 유방 등 모든 구조물에 발생할 수 있는 질환을 말합니다.대표적 유방질환 종류01. 유방통증유방 통증의 대부분은 정상 생리 현상의 일부이거나 양성 유방질환의 한 증상으로써 나타나는 것이 많습니다.하지만, 유방 통증을 호소하는 환자가 폐경 후일 경우 유방 통증의 원인을 좀 더 자세히 밝혀야 합니다.증상 :일반적인 유방 통증 :겨드랑이 또는 팔 쪽으로 뻗는 듯한 통증유방암으로 인한 통증 :유방암 증상으로 발생하는 유방 통증은 5% 이하이며,좌우 어느 한쪽에 제한되고 지속적이며 심하다는 특징을 갖습니다.02. 유방염증유방 염증은 처음에는 열이 나고 유방의 한 부분이 아프고 붉어지며, 전신이 아프고 좋지 않습니다.진행되면 조직이 녹고 고름집이 만들어져 아프고 물렁물렁한 멍울을 형성하게 됩니다.대부분의 출산 후 유방 농양으로 젖먹이는 동안에 젖꼭지가 손상되고, 손상된 부위를 통해서 세균이 침입하여 발생합니다.증상 : 임신 중 생긴 유방염 :염증 부위 유관의 분포에 따라 유두를 중심으로 삼각형 형태로 피부 발적이 나타납니다.임신과 관계없는 유방염 :유두 부근에 문제가 있는 경우가 대부분이며 유방 피부에 전반적으로발적이 나타나는 경우 염증성 유방암을 의심할 수 있습니다.03. 유방 피부 함몰 및 유두 함몰유방의 어느 한 부분이 안으로 당겨 들어간 유방 피부 함몰 혹은 유두함몰이 갑자기 발생하였다면 유방과 유두 내 병변 및 염증, 지방괴사를 의심할 수 있습니다. 경우에 따라 유방암이 원인일 수 있으니 조직 검사를 통해 정확한 원인을 찾는 것이 필요합니다. 그러한 경우에는 함몰 유두를 수술하여 교정하는 것이 바람직합니다.증상 : 유방 및 유두 아래 부위 염증, 지방괴사, 유방암04. 유두 분비물일반적으로 유두 분비물은 젖이 아닌 형태의 분비물이 지속적이며 저절로 유두 피부에 나타나는 것으로 양이 많을 수도 있지만 한두 방울 맺힐 정도로 적을 수 있습니다. 유두 분비물은 유방 멍울, 유방 통증과 함께 흔한 3대 유방 증상입니다.종류 : - 유방암과 관계가 적은 분비물 :우윳빛, 여러 색깔이 혼재된 양상, 고름(농) 형태의 분비물 등이 나타납니다.- 유방암 의심 분비물 :깨끗한 물 형태, 노란빛을 내는 액체, 핑크빛이 나거나 핏빛이 나는 경우 등이 나타납니다.원인 : 대부분 양성질환이 원인으로 나타나며, 짜지 않고 저절로 나오는 분비물은 분만 경험이 있는 여성에서는 소량씩 유즙 분비가 일어날 수 있습니다.어떤 분비물이 있는지 확인하기 위하여 자주 유두를 짜는 행위를 하는 경우, 혹은 폐경 후 여성에게 유관 확장이 있는 경우에 유두 분비가 있게 되며, 특히 주의해야 하는 것은 유방암으로 인한 유두 분비물입니다.05. 유방 멍울(유방 종괴)과 양성 유방 종양유방 멍울은 실제로 덩어리의 대부분이 양성 종양으로 암과는 관계가 없으나 유방암과의 감별을 확실히 해주어야 합니다. 대부분의 환자는 본인이 만져서 발견하여 병원에 찾아오게 되며, 병원에서는 진찰과 유방촬영, 유방 초음파 및 조직 검사를 실시합니다.검사를 통하여 유방 내 다른 병변이 있는지를 확인하고, 또한 덩어리의 형태로 혹이 나쁜 것(암)인지 아니면 양성인지를 알아봅니다.종류 : 섬유선종, 유류, 유관 내 유두종, 지방종, 과오종증상 : 유방의 변화로 생긴 낭종 및 수유 중 젖이 고여 만져지는 유류(galactocele) 도 만져집니다. 유관 내 유두종(intraductal papilloma)은 유두의 혈성 분비물을 일으키는 질환으로 보통은 크기가 작아 잘 만져지지 않는 경우가 많으나 간혹 2cm 정도로 커지기도 합니다. 지방종(lipoma)및 피부에 생긴 피지낭종이 생기는 경우도 흔히 볼 수 있습니다.06. 섬유선종섬유선종은 유방에 발생하는 종양 중에 가장 흔한 양성종양입니다.20세부터 50세 사이에 여성에게서 흔히 발견되며 25세 이하의 여성에서 좀 더 흔하며 나이가 듦에 따라 서서히 발병률이 떨어지는게 일반적입니다 10대 청소년기에 연소성 거대 섬유선종이 발생할 수도 있는데 이때 섬유선종은 빠른속도로 자라는 경향이 있습니다.원인 : 섬유선종은 발생 원인은 정확하게 밝혀지지 않았으나젖을 분비하는 유선의 말달 부위인 종말유선관-소엽 단위와 그 주위의 결합조직을 포함하는 증식의 과정으로 인정되고 있으며 호르몬 불균형의 영향으로 추정하고 있습니다증상 : 따로 압통이 없고 경계가 명확하며 유동성이 있는 단발성 종괴(10~15%정도에서 다발성 또는 양측성)가 만져집니다. 단발성 종괴는 대개 직경이 1~2cm이며 고무와 같은 탄력성을 지닙니다.

갑상선 검사
갑상선 초음파갑상선 초음파 검사로 결절의 크기, 모양, 위치, 결절의 개수 등을알 수 있을 뿐 아니라 결절의 낭성 변화(혹 속에 피나 물이 고이는 경우)나낭종 (물혹)을 확인하는데 매우 유리합니다.갑상선 기능 검사 (혈액 검사)채혈하여 갑상선의 기능의 이상 여부를 검사합니다.갑상선 기능 이상이 있을 때는 갑상선 항체를 추가적으로 혈액으로 검사합니다.갑상선 기능 항진증과 갑상선 기능 저하증을 진단할 수 있습니다.갑상선 세포 검사 (세침 흡인 검사)세침 흡인 세포검사는 주사기로 결절부위에서 갑상선 세포를 얻어내는 검사입니다.매우 가는 주사침을 이용하므로 통증이나 부작용도 거의 없습니다.가는 주사바늘로 한두 번 찌르는 것이므로 입원할 필요가 없고 부작용도 없습니다.채취한 세포를 현미경으로 검사하면 양성인지 암인지를 감별할 수 있습니다.황영진 원장은 수천 례 이상의 맘모톰 시술 경험을 가지고 있으며 통증이 거의 없고 완전제거 및 다발성 종괴에 대해서도 한 번의 시술로서 종괴를 제거할 수 있는 노하우를 가지고 있습니다.이 검사는 임신 및 수유 중인 경우에도 안전하게 시행할 수 있습니다.세포검사가 필요한 경우세침(가는 바늘) 흡인 검사 후 주의사항

당뇨
당뇨는 여러가지 음식으로부터 섭취된 당(포도당)이 우리 몸에 흡수되지 못하고 혈액에 쌓이다가 소변으로 넘쳐 흐르는 병입니다8시간 이상 금식 후에 혈액검사로 측정한 혈당이 126mg/dl 이상이거나, 경구 당부하검사 2시간 후 혈당이 200mg/dl 이상이면 당뇨병이라 합니다또 물을 많이 마시거나 소변이 많아지고 체중이 감소하는 동시에 식사와 무관하게 측정한 혈당(무작위 당검사)이200mg/dl이상일 때도 당뇨병으로 진단합니다당뇨의 원인과 증상유전적 요인부모 모두 당뇨인 경우 58%, 부모 중 한쪽이 당뇨인 경우 28%가량 당뇨병이 발생환경적 요인고칼로리 음식을 자주 먹는 식습관섭취량보다 적은 활동량으로 인한 비만심한 스트레스부신 피질 호르몬과 이뇨제 및 경구용 피임약의 장기 복용노화면역학적 요인자가면역질환에 걸리면 당뇨가 생길 수 있으며 주로 제 1형 당뇨병에서 흔히 볼 수 있습니다.다뇨증 : 소변을 자주보는 증상다식증 : 음식을 많이 먹는 증상다음증 : 심한 갈증을 느끼는 증상체중감소 : 일차적으로 제 1형 당뇨병 대상자당뇨 합병증당뇨 환자는 언제 다가올지 모르는 무서운 합병증에 걸리지 않기 위해 평소 철저한 관리를 해야합니다급성합병증급성 합병증은 혈당이 너무 오르거나 떨어져서 발생하는데, 적절한 조치를 취하지 않으면 의식을 잃거나 적절한 치료를 받지 않을 경우 생명을 위협할 수 있습니다. 지방의 부산물인 케톤체가 쌓여 발생하는 ‘케톤산혈증’ 나이가 많은 제2형 당뇨병환자에게 많은 ‘고삼투성 비케톤성 혼수’, 혈당이 정상이하로 떨어지는 ‘저혈당증’ 등이 있습니다.만성합병증당뇨병이 오래 지속되어 큰 혈관과 작은 혈관에 변화가 일어나 좁아지거나 막히면서 생깁니다. 큰 혈관의 합병증을 흔히 동맥경화증이라 부르며 심장, 뇌, 하지에 혈액을 공급하는 혈관에 흔히 생깁니다. 작은 혈관의 합병증은 주로 망막(눈), 신장, 신경에 문제를 일으켜서 시력 상실, 만성 신부전, 상하지의 감각 저하 및 통증 등을 유발할 수 있습니다.기타 피부 구강질환1. 농파증 : 피부에 침입한 세균이 화농증을 일으키는 병이며, 항상 피부를 청결하게 하고 상처를 내지 않도록 주의합니다.2. 당뇨병성 가려움증 : 항문, 음부 등에 많이 나타나며, 피부가 발작적으로 가려워지는 증상입니다.3. 괴저 : 외상, 화상, 화농의 악화로 생기게 되며, 염증, 수포, 궤양 등을 일으키며 열이 나고 심한 경우 생명을 잃을 수도 있습니다.4. 구강질환 : 치조농루가 대표적이며, 증상은 치아주변의 잇몸이 치조골을 침해하여 치아가 흔들려서 빠집니다.충치가 많은 중년 이후에 걸릴 확률이 많으며 당뇨 환자는 증세가 대체로 심한 편입니다.당뇨 치료방법당뇨 정기검진 대상우연한 기회에 당뇨 진단을 받는 경우가 많기 때문에 증상이 없다고 안심하면 안됩니다. 다음과 같은 사항을 한 가지 이상 갖고 있다면 당뇨병에 대한 정기적인 검진이 필요합니다.부모·형제나 친·인척에 당뇨병 환자가 있는 분비만한 분임신 중인 사람(특히 임신 24-28주)이거나 임신성 당뇨병의 병력이 있는 분장기적으로 과도한 정신적, 육체적 스트레스를 받는 분당뇨병이 합병되기 쉬운 질환(고혈압, 만성간질환, 췌장질환, 갑상선질환 등의 내분비질환)을 갖고 있는 분혈당을 올릴 수 있는 약물, 즉, 스테로이드제, 이뇨제, 피임약, 갑상선 호르몬제, 항암제나 진통제 일부, 항결핵제등을 장기적으로 복용하고 있는 분임신성 당뇨병의 병력이 있거나 4kg 이상의 거대아를 출산한 경험이 있는 분

갱년기/폐경기 관리
폐경기폐경이란 생리가 최소 6개월에서 12개월 이상생리가 나오지 않는 상태를 말하며 보통 만 45세 전후로 폐경기가 온다. 폐경기가 될 무렵부터는 난소에 에스트로겐의 분비가 아래 표와 같이 급강한다에스트라디올(가장 강력한 에스트로겐)폐경 전200-400 pg/mL (최고농도)폐경 후5-20 pg/mL (최고농도)폐경기 전후에는 이유 없이 얼굴이 화끈화끈 달아오르는 안면홍조, 밤에 나는 식은땀, 수면 장애, 집중력 저하, 감정 기복의 심화, 기억력 장애 등 일상생활의 곤란함을 겪게 되고, 질 건조에 따라 성교 통증 등의 부부 생활이 어려워지는 등 다양한 갱년기 증상이 나타나며, 심한 경우에는 동맥 경화와 같은 심혈관질환과 골다공증 등의 생명에 영향을 미치는 중대한 질환으로 나타난다.폐경기에 나타나는 증상의 종류폐경기란 생리가 최소 6개월에서 12개월 이상 생리가 나오지 않는 상태를 말하며 보통 만 45세 전후로 해서 폐경기가 온다.폐경기가 될 무렵부터는 아래와 같은 증상이 나타날 수 있다.갱년기 관리,유방암이 걱정되어 여성호르몬을 꺼리시는 분들께!갱년기 호르몬제 치료를 한 임상시험에서 유방암이 증가했다는 것은 실제적으로는 10,000명 당 1명에서 1.26명이 증가했다는 것입니다.또한 미국 여성과는 달리 한국 여성은 폐경 이전인 30~40대에 주로 유방암이 발생하며 발생률도 미국보다는 낮습니다. (1/4~1/6) 오히려 호르몬제를 복용함으로써 대장암과 자궁내막암의 발생률을 낮추었으며 골다공증을 예방해 주는 등 장점이 더욱 많습니다. 따라서 정기적으로 유방암 검진을 하신다면 꾸준히 복용하시는 것이 좋으며 이는 미국 산부인과 의사회와 대한폐경학회의 의견이기도 합니다.천연추출물,안전한 천연 호르몬은 없나?식물성 여성 호르몬은 안전한 건강법으로 체내에서 에스트로겐과 같은 작용을 나타내면서도, 식용식물에서 추출했기 때문에 부작용이 없어 안전하다고 연구 보고되고 있다.이런 천연 식물성 호르몬을 일상 음식으로 지속하여 필요량을 충족하기는 어려움이 있으므로, 외국에서는 상업적으로 식물성 에스트로겐을 고농도로 추출로 여성 건강에 도움을 주는 항산화제인 각종 비타민, 미네랄 등을 함유한 제품이 공급되고 있다

암질환
자궁경부암은 자궁입구인 자궁경부에 발생하는 암으로 성관계로 인한 인유두종 바이러스(HPV) 감염으로 인해 발생합니다.자궁경부암은 조기발견 시 완치가 가능한 암이므로 성관계가 있는 여성들은 정기적인 검진이 필요합니다.자궁경부암의 증상은 비정상적 질출혈, 성교 출혈, 질분비물 증가, 골반통, 요통, 체중감소 등이 있으나 초기 암에서는 특별한 자각증상이 없는 경우가 대부분이므로 증상의 여부와 관계없이 성관계가 시작된 후에는 정기적으로 부인과 전문의를 찾아 검사받는 것이 중요합니다.자궁경부암 정기검진은 처음 성관계를 가진 후 1년 이내에 첫 검사를 받으시고, 이후 매 6개월 간격으로 산부안과 전문의에게 진찰과 검사를 받으시는 것이 바람직합니다.자궁경부암 검진방법자궁경부 세포진 검사가느다란 막대기 같은 것(세포 채취 브러쉬)으로 자궁경부세포를 채취해서 암세포나 암으로 발전될 가능성이 있는 비정상 세포가 있는지를 확인해보는 검사자궁경부확대 촬영검사자궁입구를 특수 촬영 기계로 확대해서 이상한 부분이 있는지 살펴보고 검사시약을 발라 변화하는 양상을 촬영하여 자궁암의 기능성을 예측함. 세포진검사와 경부 확대경검사를 병행했을 때 진단의 정확성은 90%이상으로 높아짐인유두종 바이러스 (HPV)검사자궁경부암의 경우 90%에서 이 바이러스가 발견됨, 특히 성생활이 왕성한 여성, 성경험이 어린 나이부터 있었던 여성, 가족 중에 자궁암이 있는 여성은 정기적으로 바이러스를 체크하는 것이 필요함자궁경부조직검사경부 조직검사는 자궁암 세포진검사에서 이상이 있는 것으로 나오거나 자궁경부 확대경검사가 비정상일 때, 또 자궁 경부가 오랜 염증으로 심하게 헐어 있을 때 하는 검사자궁경부암 Q&AQ. 이상 증상이 없는데 왜 자궁경부암검사를 받아야 하나요? : 일단 증상이 나타나면 병이 진행된 단계일 수 있으므로 증상이 나타나기 전, 이형성증 단계의 이상병변을 조기진단하여 치료를 받는 것이 중요합니다. 그러므로 성관계를 시작하면 증상이 없어도 규칙적인 산부인과 검진을 받는 것이 바람직합니다.Q. 자궁경부암 검사결과가 모두 정상이라도 계속 검사를 받아야 하나요? : 100% 완벽한 검사는 없습니다. 자궁경부의 이상은 마지막 자궁경부암 검사직후부터도 일어날 수 있습니다. 그러므로 규칙적인 검진을 받는 것이 바람직합니다.Q. 최근에 성관계가 없어도 자궁경부암검사를 해야 하나요? : 자궁 경부암을 일으키는 고위험군의 인 유두종 바이러스는 아무 증상 없이 오랜 기간 잠복해 있다가 수년 후에 자궁경부암을 유발할 수 있으므로 일단 성생활은 시작한 후에는 최근에 성관계가 없더라도 규칙적인 검진을 받는 것이 필요합니다.난소암이란?난소는 배란이 되는 곳으로 여러 종류의 종양이 생길 수 있으며, 또한 다른 장기에서 일어나는 많은 종류의 악성 종양의 전이가 잘 되는 기관입니다.특히, 난소암 환자의 60%이상이 이미 진행된 제 2기 이상의 상태에서 병원을 찾기 때문에 예후가 나쁩니다. 그러나, 조기발견되면 그 치유율이 매우 좋기 때문에 난소암에 대한 조기진단은 절실히 요구됩니다난소암 진단난소암 진단1차 검사에서 이상이 있을 때- 정기적인 부인과 초음파검사- 종양표지자 검사- 전산화 단층촬영- 자기공명촬영- 복강경검사자궁내막암이란?자궁 내막암은 우리나라보다 서구 여성에서 흔한 질환인데 우리나라 여성들도 생활의 서구화로 자궁 내막암의 발생이 점차 증가하고 있습니다.자궁내막암은 증상이 비교적 빨리 나타나고, 또한 임파절 전이도 자궁겸부암이나 난소암보다는 적기 때문에 일단 조기에 발견되면 그 치유율이 높습니다.자궁내막암의 증상월경과다 및 부정 자궁 출혈폐경기 후의 자궁 출혈이상 냉 대하체중감소, 전신쇠약자궁내막암 진단1차 검사1차 검사에서 이상이 있을 때- 정기적인 부인과 초음파검사- 자궁내막생검- 소파술에 의한 조직검사- 세척관류법에 의한 세포진 검사- 종양 표지물 검사- 전산화 단층촬영

생리질환
가임기 여성의 자궁내막이 임신이 되지 않아 호르몬 주기에 반응하여 저절로 탈락하고 배출되는 현상을 월경(생리)라 합니다 정상적인 월경 양상을 벗어난 과도한 생리통이나 생리불순, 무월경의 경우 관찰과 검사, 치료가 필요할 수 있습니다생리질환종류와 증상

골반염
골반염은 자궁경부에 번식한 세균이 자궁내막이나 나팔관 난소, 골반까지 퍼져 염증이 생긴 상태를 일컫습니다 질염이나 자궁 경부염이 방치되거나 만성화된 경우에 발생됩니다 주로 급성으로 발병하며 완전히 치료하지 않을 경우 만성 골반염, 성교통, 자궁 외 임신, 불임 같은 후유증을 남길 수 있습니다골반염 증상아랫배, 옆구리 통증성관계 시 통증고열, 오한생리량 증가질 분비물 증가복막염심한 통증골반염 치료방법골반염 예방질염, 자궁경부에 생긴 염증이 있다면 방치하지 않습니다무분별한 성관계를 피합니다성관계 시 피부 접촉이 끝날 때까지 콘돔을 착용합니다타이트한 하의 및 속옷 착용을 피합니다과도한 질 세척을 자제합니다생리 시 생리대를 자주 갈고 면역력을 관리에 신경을 씁니다

방광염
해부학적으로 남성에 비해 요도가 짧은 여성에게 더 흔한 방광염은 요도로 유입된 세균이 방광을 감염시키고 염증을 유발하는 질환입니다 주로 아랫배에 불편함이나 통증을 느끼며 소변을 봐도 시원하지 않은 잔뇨감 등의 증상이 나타납니다 항생제 치료로 빠르게 좋아질 수 있으나 적절한 치료를 받지 못하면 신우신염으로 발전할 수 있습니다방광염 증상변을 봐도 시원하지 않은 잔뇨감하루 8회 이상 변을 보는 빈뇨배뇨 시 통증하부 허리 통증혈뇨 또는 악취를 동반한 혼탁뇨방광염 치료방법방광염 예방평소 충분한 수분 섭취가 필요합니다소변이 마려울 때 억지로 참지 않습니다과격한 성관계를 피합니다성관계 후 생식기 주위를 깨끗이하는 습관을 기릅니다면역력이 떨어지지 않게 주의합니다

성병
성병이란성매개성질환은 성교에 의한 것과 성적 접촉에 의한 것을 포함하는 보다 넓은 질병의 모임입니다. 즉 보균자 또는 환자와 같이 이불을 덮고 자거나, 피부를 접촉하거나, 키스 등에 의하여 전염되는 병을 포함하는 것으로 아래에 설명된 모든 질병과 혈액으로 전염되는 바이러스성 간염도 포함됩니다.성병관련검사경성하감(매독)원인균은 Treponema pallidum 이며 성접촉 약 2-4주 후에 접촉 부위에 통증이 없는 궤양이 나타납니다. 궤양은 치료를 하지 않아도 서서히 사라지므로 치료와 지속적인 검사가 필수적입니다.연성하감원인은 헤모필루스 듀크레이(Haemophilus Ducreyi) 이며 증상은 성기에 살점이 떨어져 나가는 궤양, 주위 임파선, 특히 사타구니의 임파선이 붓고 아픕니다.음부포진원인바이러스는 헤르페스바이러스(Herpes simplex virus)이며 남녀를 불문하고 감염이 계속 증가하는 질환입니다. 임신 시에 태아에게 감염되어 기형의 원인이 되고 또한 자궁경부암 등의 각종 암과도 관련이 있다고 보고 되었습니다. 증상은 감염 3-7일 후 외성기 주위에 물집이 생기며 가려움과 통증을 동반할 수도 있습니다. 일반적으로 재감염시보다 증세가 심하고 발열, 무력감등의 전신증세가 동반되나 약 3주 후에는 병변이 저절로 사라집니다.콘딜룸, 첨규콘딜룸(condyloma accuminata)원인 바이러스는 인간유두종바이러스(human papilloma virus)로써 이 바이러스는 자궁경부암의 직접적인 원인 중의 하나입니다.질염질원인균은 캔디다나 트리코모나스(Candia albicans, Trichomonas vaginalis) 등이며 세균성질염의 경우는 아주 심한 비린내, 특히 성 관계 후 희거나 회색 분비물, 묽거나 거품이 있는 분비물이 보이며, 곰팡이성 질염의 증상은 치증하 같이 희고 진한 분비물이 특징이며 질주위에 통증, 쓰라림, 가려움증, 붉게 변함, 빵을 굽는 듯한 냄새가 납니다. 트리코모나스질염은 연두색 혹은 노란색의 분비물, 심한 악취, 질 주위의 가려움증, 소변을 볼 때 혹은 성교시에 통증을 느낍니다.AIDS(Acquired Immune Deficiency Syndrome, AIDS)원인바이러스는 HIV(human immunodeficiency virus)로써 증상은 만성적 체중감소, 발열을 동반한 쇠약이며 면역기능 저하에 따라 피부에 나타나는 Karposi육종, 아구창, 비뇨생식기계 감염 등이 있습니다.

초기임신관리
임신준비건강한 아이를 낳고 싶은 것은 아이를 가진 모든 임산부들의 소망일 것입니다. 그러나 임신 전 건강검진의 중요성에 대해서는 잘 모르는 여성들이 많습니다. 건강한 아기를 갖기위한 첫걸음! 산전 검사는 선택이 아닌 필수입니다.임신 주수에 따른 검사일반 혈액 검사기본적인 건강상태를 평가(간기능, 콩팥기능, 빈혈검사, 혈소판 감소 등)소변검사당뇨, 단백뇨, 요로 감염, 무증상 세균뇨 등을 진단혈액형 검사ABO식 및 RH 양성/음성 판정으로 유산, 사산, 조산 감소혈청 검사B형간염, 매독, 에이즈, 풍진 여부를 판단자궁경부세포 검사자궁암에 여부를 검진초음파 검사자궁, 난소의 건강에 대한 평가마이코플라즈마 검사조기분만, 조기파수, 유산, 사산 위험성 예방남편의 준비한편 건강한 아이를 낳기 위해서는 남편의 준비도 필요합니다임신 확률을 높이고 건강한 아기를 갖기 위해서는 건강한 정자가 필요하기 때문입니다임신 주수에 따른 검사10주임신 초기 검사 / 혈액검사(빈혈, 혈소판, 간염, 매독, 에이즈, 간기능, 갑상선기능, 풍진, 신장, 당뇨, 혈액형), 소변 정밀 검사, 마이코플라즈마 감염 검사12~14주초기 입체초음파 / 입체초음파(태아의 목덜미 두께를 재서 태아기형 선별), 융모막 검사15~20주QUAD 검사 / 기형아 혈액검사(다운증후군, 에드워드증후군, 신경관 결손 선별검사), 양수검사20~24주중기 정밀 초음파 / 태아 건강과 발육상태 확인(심장기형, 뇌기형 등 태아 장기위주 검사) 제대혈액 검사24~28주임신성 당뇨 검사, 후기 4D 입체초음파 / 임신성당뇨 검사, 혈액검사(빈혈)28~35주후기 정밀 초음파 / 자궁 혈류 도플러검사, 태반위치, 양수량, 태아발육 측정35~40주막달검사, 후기 정밀초음파 / 태동검사와 내진(자궁 개대여부 검사, 골반크기 진단), 폐사진(결핵여부 확인), 혈액검사(빈혈 확인)
